TEL078-803-8615
FAX078-803-8610
| 月 | 火 | 水 | 木 | 金 | 土 | 日 | 祝 | |
| 9:30~13:00 | - | ● | ● | ● | ● | ● | - | - |
| 14:30~19:00 | - | ● | ● | ● | ● | ● | - | - |
| 土曜午後の診療は14:30-17:00となります | ||||||||

三宮の歯医者「しょうげん歯科医院」の口腔外科のページです。
奥歯の一番奥にある歯を親知らず(智歯)といいます。現代人は顎の大きさが小さくなったこともあり、この親知らずが正常に生えないことが多く、まったく生えないか半分埋まった状態になっていることがあります。この状態では親知らずに歯ブラシが十分届かず、汚れが溜まって炎症を引き起こします(智歯周囲炎といいます)。そのような状態になると痛みと腫れが出るので、抗菌薬と痛み止めの薬で炎症をおさめますが、何度も炎症を繰り返すことが多いです。炎症を起こした親知らずは抜歯が最適な根本治療になります。
下顎の中には下唇の感覚を司る神経が入っており、親知らずが深く埋まっている場合にこの神経に近接していることがあります。
当院院長は口腔外科専門医で、大学病院や総合病院口腔外科にて数多くの親知らずの抜歯を経験しております。親知らずの抜歯は安心してお任せください。また、当院では最新の歯科用CTを配備し、抜歯前に親知らずと神経の位置関係や親知らずの根の曲がり具合などもしっかり把握できますので、難しい抜歯にも対応できます。
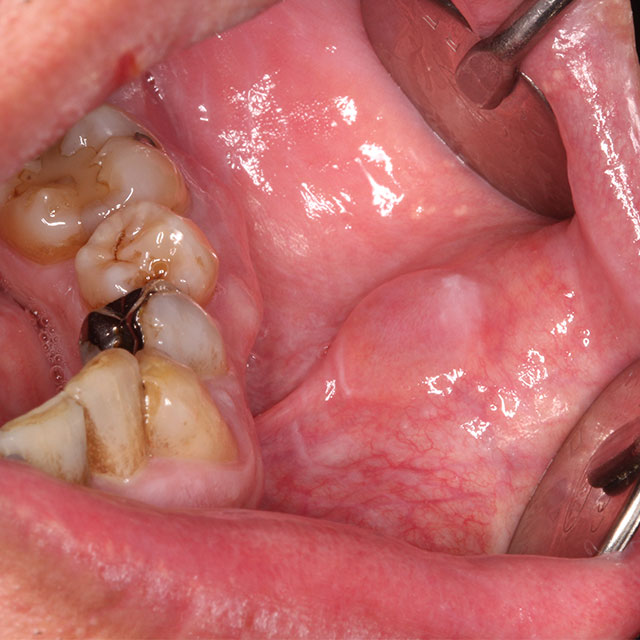
【下口唇粘液嚢胞】下くちびるの内側にある口唇腺という小唾液線がつまって水ぶくれのように腫れたものです。
【骨隆起】
咬み合わせの力で骨の一部が増殖してきたものです。あくまで骨ですが、入れ歯を装着する際に邪魔になる場合は切除します。
親知らずの抜歯だけでなく、数多くの口の中の病気の外科手術にも対応致します。下唇の内側に生じるできものである粘液貯留嚢胞の切除、入れ歯の装着に邪魔になる骨の隆起の切除、口の中の切り傷の縫合なども行います。
転倒や打撲にて歯をぶつけてしまうことで、歯が割れたり、ぐらぐらしたり、ひどい場合は抜けてしまうことがあります。
そういった外傷にはなるべく早く対応することが大切です。抜けた歯を元の場所に戻して固定したり、神経の保存処置を行いますので、受傷してから出来るだけお早めにお電話ください。
なお、抜けてしまった場合の歯は学校などでは保健室にある保存液に、ご家庭では牛乳に入れてお持ちください。
糖尿病、高血圧、心疾患といった持病をお持ちの方のお口の治療も、かかりつけの主治医の先生と連携して全身管理をしながら行います。
持病をお持ちの方もお気軽に相談ください。
顎の痛みの中には顎を開け閉めする筋肉や顎の関節が痛む場合があります。こういった痛みに口の開けにくさ、口を開けた際の顎の関節の音を伴ったものを顎関節症といいます。
顎関節症の中でも痛みや口が開けにくい場合は治療が必要ですので、お悩みの場合はぜひご相談下さい。また、歯ぎしりによって顎周囲の筋肉に筋肉痛を起こしている場合はマウスピースにて治療することもあります。
いびきがひどく呼吸器内科や耳鼻科で睡眠時無呼吸症と診断された場合は、当院でその治療のためのマウスピースを製作できますので、是非ご相談ください。 (かかりつけの内科や耳鼻科からの紹介状が必要です。)
病院や大学病院口腔外科にて口腔がんの手術や放射線治療をされた方は唾液分泌の低下や飲み込みの力が弱くなりがちです。その結果、口の中の汚れが多くなり、以前よりも圧倒的にむし歯になりやすくなったり、誤嚥によって肺炎になることもあります。こうした場合、定期的な口腔ケア(歯科衛生士によるお口の清掃、保湿など)を行い、口の機能をサポートする必要があります。当院ではこうした口腔腫瘍を治療された患者様のお口のサポートもがん治療の担当医と連携して行うことができます。
【口腔扁平苔癬】原因のはっきりわかっていない難治性の粘膜の荒れです。対症療法が中心になります。一見似ていますが癌ではありません。
【舌白板症】
その名の通り通常は赤い口の粘膜が白くなる病気です。前癌病変といい、確率は低いですが癌化します。
【舌癌】
極初期は小さな赤み程度なのでですが、次第に写真のように潰瘍を呈することが多いです。気になったら専門医に相談しましょう。
昨今、生活様式の変化からか昔と比べ口腔がん(舌がん、頬粘膜がん、歯肉がん、口底がんなど)の発症件数が増加しております。当院院長は大学病院口腔外科に長年所属し癌治療にも従事してきた経験があります。口腔がんが心配で検診を希望される方は口腔がん検診も致しますので、ご相談ください。また、セカンドオピニオンも受け付けます。 (検診は自費診療になります。)
昨今のがん治療の進歩によって、副作用の少ない治療は数多く開発されていますが、抗がん剤の中には口の粘膜の障害や唾液の分泌量の低下を引き起こすものが数多くあり、口は抗がん剤の影響を非常に受けやすい臓器です。ひどい場合はその口の中の副作用で食事が出来なくなったり感染したりして、がん治療自体が遂行できなくなる場合があります。また、手術を行う場合にも歯周病で揺れている歯があると、気管挿管や抜管の際に抜けてしまうこともあります。
このように口はがん治療と密接に関わっています。がん治療に関わる口の影響を少なくするためには治療の前から口の管理を行っていくこと(このことを周術期口腔機能管理といいます)が大切です。当院ではがん治療に関わる口の影響を最小限にするためにがん治療を行う担当科の主治医と連携し、治療を行う前より口の管理を行うことが出来ます。がん治療後のお口のフォローもしますので、がん治療を受けられる方も受けられた方も是非ご相談ください。
その他、大学病院や地域の病院歯科の先生方と連携し、様々なお口の病気や全身的な病気のお口の中の症状を治療し、フォローしていきます。